










※ただいま予約枠に空きがないクリニックもございます。
3つの特徴





料金プラン
医療ホワイトニングが身近な価格に。
薬剤で選べる2種類のプラン。




施術プランは当日に、
歯科衛生士と相談しながらお選びいただけます。
施術プランは当日に、歯科衛生士と相談しながらお選びいただけます。






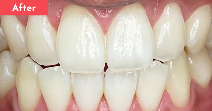
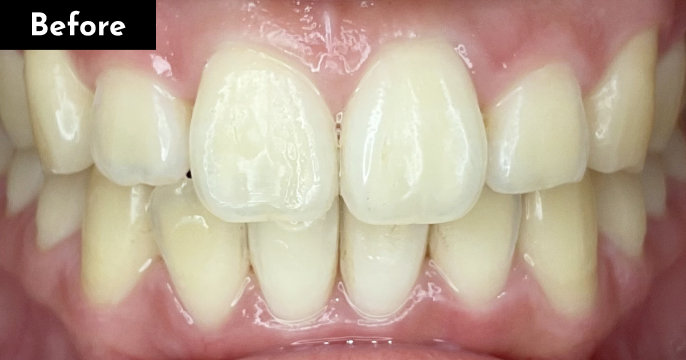
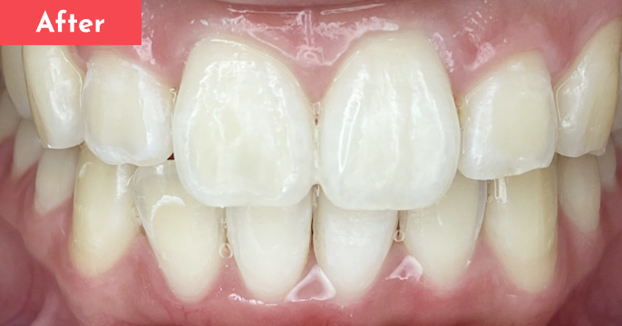
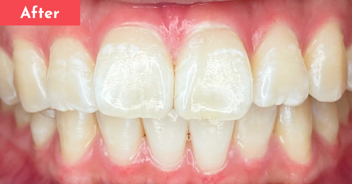
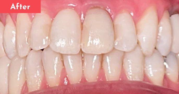
症例
スタンダードプラン
ブースト
BOOST
プラン
医療ホワイトニングとは?
歯磨き粉やセルフホワイトニングでは落とせない、
歯の内部の黄ばみを分解して歯を白くできるのが
医療ホワイトニングです。
医療ホワイトニングです。
セルフホワイトニングとの違い

ご予約当日の流れ
体験品質のこだわり
Oh my teethは、
全国どこでも変わらない品質をお届けするため
Oh my teethは、全国どこでも変わらない品質をお届けするため
施設と教育体制を統一管理しています。
「短時間」で「手軽」に「安心」して
医療ホワイトニングができる
「短時間」で「手軽」に「安心」して医療ホワイトニングができる
ストレスフリーな体験をご提供します。

クリニック一覧
※Oh my teeth導入クリニック
よくある質問
1回でも数段階の白さアップを期待できます。ただし、目標の白さに到達するまで複数回通われる方が多いです。
目標の白さに合わせて薬剤・照射回数の調整ができるため、ご安心ください。
まれに痛みの出る方もいますが、痛みのない方がほとんどです。施術中や施術後に、痛みやしみる感覚が生じる場合がありますが、一時的な症状です。知覚過敏などによって痛みが出やすい方は、シミ止めのお薬を塗布することも可能です。
施術後30分のみ、色素沈着しやすくなっているためご飲食を避けていただいております。それ以外でのお食事の制限はございません。
はい、ご利用いただけます。ただし、差し歯や被せ物には十分なホワイトニング効果は期待できませんのでご了承ください。
はい、ご利用いただけます。



























