歯科矯正
最終更新日:2025年8月28日
歯科矯正で使うアンカースクリューとは?気になる痛みや費用も解説

アンカースクリューを使った矯正治療、ちょっと怖いと感じていませんか?
アンカースクリューの矯正治療は、従来の装置では難しかった歯の大きな移動を可能にし、ガミースマイルや口元の突出感といった悩みにもアプローチできる技術です。
特に「抜歯せずに治したい」「できるだけ治療期間を短くしたい」と考える方にとって、有効な選択肢となることがあります。
でも、「痛みはあるの?」「費用は高いの?」といった疑問や不安もつきものですよね。
そこで本記事では、吉祥寺矯正歯科クリニック の鈴木 美穂先生監修のもと、アンカースクリュー を用いた矯正治療の特徴やメリット・注意点までを詳しく解説します。
歯科医師
鈴木 美穂
日本歯科大学卒業後、日本歯科大学附属病院にて研修に励み、日本歯科大学矯正学講座に入局し、日本矯正歯科学会認定医を取得。その後、医療法人社団矯栄会 六本木 広瀬矯正歯科にて経験を積む。日本大学大学院 歯学研究科の博士課程を修了し、博士号を取得。2020年に吉祥寺矯正歯科クリニックを開院する。日本矯正歯科学会、東京矯正歯科学会、顎変形症学会、日本口蓋裂学会、日本歯科保存学会、日本接着歯学会など多数の学会に所属している。
目次
- 歯科矯正用アンカースクリューとは?
- 歯科矯正でアンカースクリューの装着が必要な人は?
- ヘッドギア(顎外装置)をつけられない人
- 歯の固定源に不足がある人
- ガミースマイルや口ゴボの人
- 出っ歯の人で奥歯をこれ以上前に動かしたくない人
- 外科手術が軽度必要な人
- 埋まっている大人の歯の掘り起こし、使う必要がある人
- アンカースクリューは痛い?痛くない?
- アンカースクリューを設置するとき
- アンカースクリューの装着中
- アンカースクリューを外すとき
- 矯正でアンカースクリューのメリット
- 非抜歯での矯正治療が実現
- 矯正期間の短縮
- 外科治療の回避
- 埋まっている大人の歯が使える
- アンカースクリューのデメリット
- 感染リスクがある
- アンカースクリューが脱落する可能性がある
- 歯根の損傷リスクがある
- 口腔外科のある他院へ行かなければならない
- 治らない場合もある
- 矯正でアンカースクリューを装着する場合の費用
- アンカースクリューの装着は保険が適用される?
- アンカースクリューの値段相場
- アンカースクリュー併用の矯正費用を抑えるコツ
- 【矯正効果UP】アンカースクリューで理想の歯並びに!

歯科矯正用アンカースクリューとは?

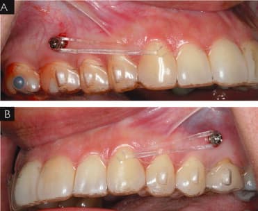
歯科矯正用アンカースクリューとは、矯正治療の際に使われる、とても小さな(直径1.4mm・長さ6mm程度)チタン製の医療用ネジのことです。
このアンカースクリューをあごの骨に埋め込むことで、歯を動かすときの固定源となり、より効率的に矯正治療を進めていくことができます。
従来は、固定源は奥歯にするしかありませんでした。しかし、そうすると前歯を奥へ引っ張ろうとする力で、逆に奥歯まで前に動いてしまう反作用が起きてしまいます。
この反作用は、「奥歯と前歯がワイヤーで綱引きをしている状態」とイメージするとわかりやすいかもしれません。
しかしアンカースクリューは、あごの骨にしっかり埋め込み固定源とすることによって、奥歯が反作用で動くのを防げます。
また、アンカースクリューは設置する場所を選べるため、特定の歯だけを動かすことも可能です。
このように、歯科矯正でアンカースクリューを併用することによって、矯正の効率が上がり難しい歯並びにも対応できるようになりました。
歯科矯正でアンカースクリューの装着が必要な人は?

主に、以下の項目にあてはまる人は、矯正でアンカースクリューが必要です。
- ヘッドギア(顎外装置)をつけられない人
- 歯の固定源に不足がある人
- ガミーマウスや口ゴボの人
ヘッドギア(顎外装置)をつけられない人
ヘッドギアとは、矯正中に動かしたくない歯まで移動してしまうことを防ぐ、頭にかぶる装置のこと。このヘッドギアをつけられない人は、代替案としてアンカースクリューが必要です。
しかし、子どもの場合はあごの骨がまだ成長段階で柔らかく、しっかりとアンカースクリューを固定できません。このような理由から、通常アンカースクリューの設置は16歳以上の人に推奨されています。
そして、ヘッドギアは1日で8〜10時間は装着する必要があり、特に大人はこの装着時間をなかなか確保できません。
そこでヘッドギアを装着できない人は、代わりにアンカースクリューを設置することで、不要な歯の動きを防ぎます。
ヘッドギアは決して快適とは言えない上に、毎日長時間つける手間を考えると、アンカースクリューの設置は負担を軽減できる矯正方法です。
歯の固定源に不足がある人
歯の固定源に不足がある人は、アンカースクリューが必要です。
歯を動かすには支点となる歯が必要ですが、固定源にしたい歯に問題があると、矯正治療で必要な矯正装置をつけられません。
たとえば、固定源の歯が生まれつき小さすぎたり、虫歯などで損失していたりするケースが考えられます。
しかし、矯正に必要な固定源がないケースでも、アンカースクリューを設置することで、これまで治療が難しかった症例でも矯正が可能になりました。
ガミースマイルや口ゴボの人
ガミースマイルや口ゴボの人が、外科治療を回避するには、アンカースクリューが必要です。(※重度のガミースマイル・口ゴボは外科治療が必要になるケースがあります)
従来ガミースマイルや口ゴボは、通常の歯科矯正で治すのが難しく、多くのケースで外科手術が適応されてきました。
しかし、アンカースクリューの登場で、これまでの矯正では難しかった歯を引っ込める動き(圧下)や、歯を全体的に後ろに移動させる動きが可能になったのです。
こうしたアンカースクリューの自由自在に歯を動かせる特性を利用して、これまで外科治療で行っていたガミースマイルや口ゴボの治療も、手術せずに治療できるようになりました。
大がかりになる外科治療よりも、アンカースクリューでの矯正治療の方が、より負担が少なくなります。
そして、ガミースマイルや口ゴボは治したいけど手術はしたくない、という方には嬉しい矯正方法です。
出っ歯の人で奥歯をこれ以上前に動かしたくない人
奥歯が前に移動してしまうことを、ロスすると言ったりもします。矯正治療では、ロスした歯を奥にするすることが1番難しいとされています。無理やり奥にしようとすると歯の根は動かず傾斜だけしてしまうのです。インプラントアンカーの技術を併用することでトルクを利かせ歯体移動ができます。
ですので、後々高難易度の矯正治療が必要にならないようにするためにも、早めにアンカースクリューを行うことがおすすめです。
ですので、後々高難易度の矯正治療が必要にならないようにするためにも、早めにアンカースクリューを行うことがおすすめです。
外科手術が軽度必要な人
ガミースマイルなどを含め、奥歯のコントロールが難しい治療も裏側矯正とインプラントアンカーの併用がおすすめです。そうすることで、オートローテーションを可能にし外科的手術を避け治療することができます。
埋まっている大人の歯の掘り起こし、使う必要がある人
抜くしか方法がなかった歯を開窓術という治療と併用することで使用できます。他の歯などを使い掘り起こしてしまうと、作用・反作用により他の歯が傾いたりするリスクも回避できます。
アンカースクリューは痛い?痛くない?

ここでは、気になるアンカースクリューの痛みを、段階ごとに説明していきます。
- アンカースクリューを設置するとき
- アンカースクリューの装着中
- アンカースクリューを外すとき
アンカースクリューを設置するとき
アンカースクリューを設置するときは、一般的な歯科治療でも使用される局所麻酔で感覚を麻痺させるため、痛みはほとんど感じません。
そしてアンカースクリューを設置するときには、電動トルクドライバーと呼ばれる機械でスムーズに埋め込むため、アンカースクリュー1本あたり平均10〜15分で設置可能です。
実際にアンカースクリューを設置した人からは、「あっという間だった」「痛みは感じなかった」という感想があがっています。
ただし、麻酔が切れた後や、アンカースクリューを設置してから2〜3日間は、痛みを感じる人がいるのも事実。
しかし、こうした痛みを予測して、歯科クリニックでは痛み止めや化膿止めの薬を処方しています。ですからもし痛みを感じたら、無理に我慢せずに痛み止めを服用しましょう。
痛みの感じ方には個人差がありますが、痛み止めを服用すれば問題ない程度で、我慢できないほどの痛みが出る人は多くありませんので、安心してくださいね。
アンカースクリューの装着中
アンカースクリュー装着中には、口内炎や炎症が起きることで、痛みを感じることがありますが、基本的にはほぼ起こりません。可動粘膜に装着してしまった場合や斜めに埋入したときに起こりやすいと言われています。下顎の舌側に装着すると起こりますが、オペのリスクが高いため現在ではほとんど行いません。
口内炎はアンカースクリューの突起などによって、口の中の粘膜が傷つくことが原因。
また、歯みがきなどが不十分で口腔内の清潔を保てないと、アンカースクリューの設置面などから細菌が入り込み、炎症を起こすことがあります。
そして不用意な炎症を防ぐためには、気になっても舌や指でアンカースクリューに触れないようにすることも大切です。
こうした口内炎や炎症を防ぐためにも、アンカースクリュー周りは重点的にしっかり磨いて、口腔内の清潔を保ちましょう。
万が一、炎症の痛みを感じた場合には、アンカースクリューの脱落などの原因にもなりますので、すぐに歯科クリニックに連絡してくださいね。
アンカースクリューを外すとき
アンカースクリューを外すときは、ほとんど痛みを感じません。そのため、局所麻酔を使用しないケースが多いです。
むしろアンカースクリューを外す痛みよりも、麻酔の針を刺す痛みの方が痛いとか。また人によっては、外すときは痛みではなくて「痒かった」と感じる人もいるほどです。
このように、アンカースクリューは設置するときから外すときまで、意外にも痛みが少ないので、過度な心配はいりません。(※痛みの感じ方には個人差があります)
矯正でアンカースクリューのメリット

ここでは、「矯正でアンカースクリューを設置して良かった」と多くの人が感じた、メリットを紹介します。
アンカースクリューのメリット
- 非抜歯での矯正治療が実現
- 矯正期間の短縮
- 外科治療の回避
- 埋まっている大人の歯が使える
非抜歯での矯正治療が実現
アンカースクリューを装着することで、抜歯せずに矯正できるのは、大きなメリットです。
実際、「矯正できれいな歯並びになりたいけど、抜歯が怖い」「健康な歯を抜くことに抵抗がある」という理由から、矯正に踏み切れない人が多くいます。
これまでは、歯を並べるためのスペースが足りないときは、小臼歯(犬歯の後方の歯)を抜いて隙間を作っていました。
しかしアンカースクリューによって、奥歯を更に奥へ移動させることが可能になり、重なり合った歯を並べるスペースを確保できるようになったのです。
このように、アンカースクリューを併用した矯正は、抜歯に恐怖感や抵抗感を持っている方に向いています。
ただし、「非抜歯矯正が可能か?」「アンカースクリューの適応になるか?」の自己判断は難しく、歯科クリニックでの診断が必要です。
マウスピース矯正Oh my teethでは、あなたの矯正治療に抜歯が必要か、歯科医師に直接相談できます。
相談料も診断料も無料です。お気軽にご相談ください。
矯正期間の短縮
矯正期間を短縮できることも、アンカースクリューを装着した矯正のメリットといえるでしょう。
アンカースクリューでしっかりとした固定源を作ることによって、常に動かしたい歯を引っ張り続けることができるため、矯正期間を短くすることが可能です。
通常のワイヤー矯正の場合は奥歯を固定源にするため、奥歯が前歯に引っ張られる力で前方に動いてしまう反作用が起きてしまいます。
このように前歯と奥歯が引っ張りっこしてしまうため、なかなか矯正期間を短縮できません。
しかしアンカースクリューで支点を確保すると、こうした反作用の影響を受けないため、通常のワイヤー矯正よりも期間が短くなります。
「なるべく早く矯正を終わらせたい」という方には、大きなメリットになる矯正方法です。
あわせて読みたい

歯科矯正にかかる期間の目安は?早く終わらせる4つのポイント
歯科矯正の期間はどれくらい?平均目安は全体矯正で1〜3年、部分矯正で数ヶ月〜1年程度です。ワイヤーやマウスピース等の装置別期間や、最短で終わらせるコツを歯科医師が解説。保定期間の重...
外科治療の回避
外科治療を回避できることも、非常に大きなメリットの1つです。
これまでの矯正方法では、以下のような歯の動かし方をするのは困難でした。
- 特定の歯だけ動かす
- 歯の圧下(歯を根っこ方向へ移動させる動き)
- 歯を自由自在(上下左右)に引っ張る
たとえば、ガミースマイルで歯茎が目立っている場合、上の歯を歯茎方向へ引き上げる(圧下)動かし方をすることで、見た目を改善できるようになりました。
このように、外科治療を回避して体への負担も軽減できるアンカースクリューを併用した矯正は、画期的な治療方法です。
埋まっている大人の歯が使える
今まで歯を抜くことでしか治療ができないとされていた歯を、開窓術という治療と併用することで歯を抜くことなく使用できます。他の歯が傾いたりするリスクも回避できます。
アンカースクリューのデメリット

アンカースクリューを装着した矯正のデメリットは、下記の通りです。後悔しないためにも、事前にデメリットをしっかり把握しておきましょう。
アンカースクリューのデメリット
- 感染リスクがある
- アンカースクリューが脱落する可能性がある
- 歯根の損傷リスクがある
- 口腔外科のある他院へ行かなければならない
- 治らない場合もある
感染リスクがある
1つ目のデメリットは、感染リスクがあることです。
アンカースクリューは数ミリの小さな医療用ネジとはいえ、あごの骨に埋め込まれているため、周りの組織はとてもデリケートになっています。
その状態で、口腔内を清潔に保てず細菌が増殖すると、傷口に細菌が入ってしまい炎症を起こし感染します。
アンカースクリュー周りの歯磨きには、細かいところまでブラッシングできる、タフトブラシ(毛束が1つに尖ったヘッドの小さな歯ブラシ)がおすすめです。
また、アンカースクリューを舌などで触っていると、炎症を起こし出血や化膿の原因になります。
感染リスクを防ぐには、入念な歯磨きや口腔洗浄液(マウスウォッシュ)などを活用しましょう。
アンカースクリューが脱落する可能性がある
2つ目のデメリットは、高確率で起こることではありませんが、アンカースクリューが脱落してしまうことです。
日本矯正歯科学会編・使用実態調査報告書(平成22年3月9日付)でも、13.6%の確率でアンカースクリューの脱落があったと報告されています。
そして、アンカースクリューが脱落する原因として、以下の点があげられています。
- 皮質骨が薄い(厚さ 1mm 未満)部位への設置
- 歯根への近接
- 口腔衛生管理の不徹底による感染
- 過度な矯正力硬い食べ物の咀嚼による外力
アンカースクリューが脱力してしまうと、もう一度設置するために、支払いプランによっては追加料金がかかることがあります。
アンカースクリューの再設置で歯茎にかかる負担や余計な出費を防ぐためにも、口腔内の衛生管理をしっかり行い、硬い食べ物には注意するなど、自分でできる範囲の注意は怠らないようにしましょう。
歯根の損傷リスクがある
3つ目のデメリットは、アンカースクリューを設置する際に、歯根の損傷リスクがあることです。
アンカースクリューは、歯根と歯根の間に埋め込まれることが多いので、設置部位や設置方向を誤ると、歯根を損傷してしまう可能性があります。
そして、歯根や歯根膜の周囲を損傷した場合、アンカースクリューが脱落してしまう可能性が非常に高いです。
ダメージを最小限にするためにも、クリニックを選ぶ際には、信頼できるドクターであることや、アフターフォロー体制がしっかりしていることを重要視しましょう。
口腔外科のある他院へ行かなければならない
4つ目のデメリットは、口腔外科のある他院へ行かなければならないことです。アンカースクリュー装着は外科手術であるため、基本的には矯正専門の医院では行わず、信頼のおける口腔外科にて治療をする場合が多いです。
治らない場合もある
5つ目のデメリットは、アンカースクリューを装着したからと言って、必ずしも成功するとは限らないということです。
成功させるためにも、高い技術を誇る医院をきちんと選び、よく診てもらうことが重要です。
慎重すぎることは決して悪いことではありませんので、医院選びには時間をかけましょう。
成功させるためにも、高い技術を誇る医院をきちんと選び、よく診てもらうことが重要です。
慎重すぎることは決して悪いことではありませんので、医院選びには時間をかけましょう。
矯正でアンカースクリューを装着する場合の費用

ここでは、アンカースクリューの値段相場や費用を抑えるコツを解説していきます。
アンカースクリューを併用した矯正は高額になりますので、事前に費用に関する知識をしっかり入れて、納得した上で治療をスタートさせましょう。
アンカースクリューの装着は保険が適用される?
基本的にアンカースクリュー装着はオプション的な治療で自由診療になるため、保険は適用されません。
しかし、アンカースクリューを用いて治療することが多い顎変形症は、保険適用となり三割負担で治療を受けられるようになりました。
日本矯正歯科学会によると、保険診療の対象になる3つの条件のうち1つに、「顎変形症の手術前後の矯正歯科治療が保険適用」とされています。
しかしこのように、保険適用となるには手術が必要な症例だったり、治療できる医療機関も限られたりしているため、事前にクリニックへの確認が必要です。
審美的に歯並びを整えるアンカースクリュー併用の矯正については、保険適用にならないと認識しておきましょう。
アンカースクリューの値段相場
アンカースクリューの値段相場は、1本あたり20,000円〜150,000円です。
アンカースクリューを使用した治療は自由診療であるため、クリニックによって価格設定が異なります。
このように、歯科クリニックによってアンカースクリューの値段が変わってきますので、契約前によく確認しておくことをおすすめします。
また、アンカースクリュー1本あたりの値段が安くても、メンテナンス代などにかかる費用が別途で設定されていることもあるので、治療費用の総額を把握することが大切です。
アンカースクリュー併用の矯正費用を抑えるコツ
「矯正治療代だけでも高いのに、これ以上の追加料金は...」というのが、本音ではないでしょうか。
しかし、アンカースクリュー併用の矯正費用を抑えるためのコツがあります。以下がその3つのコツですので、少しでも節約したい方は参考にしてくださいね。
費用を抑えるコツ
- トータルフィーシステムを利用する
- いくつかのクリニックで値段を比較する
- 部分矯正できないか確認する
- 対応可能な最低限の本数を聞いておく
1.トータルフィーシステムを利用する
追加料金の心配をせずに治療したい方には、トータルフィーシステムがおすすめです。
トータルフィーとは一律料金のことで、毎回のメンテナンスや、万が一アンカースクリューが脱落したときなども、追加で費用がかかりません。
たとえアンカースクリューの値段が安くても、想定外の追加費用がかかってしまうと、「アンカースクリューは安かったけど、結果的には高くついてしまった」となってしまいます。
しかし、トータルフィーであれば追加料金がかかることがないので安心です。(※故意にアンカースクリューや矯正装置を外したり、紛失したりした場合には料金がかかることがあります)
2.いくつかのクリニックで値段を比較する
いくつかのクリニックで相談して見積もりを出してもらい、値段を比較することも費用を抑えるコツです。
アンカースクリューを併用した矯正は、基本的に自由診療でクリニックによって値段設定が異なるため、値段を比較して納得した上でクリニックを選びましょう。
矯正前の相談やカウンセリングを無料でしているクリニックもありますので、自分に合った矯正方法・支払い方法などをよく確かめることが大切です。
3.部分矯正できないか確認する
アンカースクリューでの矯正費用を抑えるには、部分矯正で治療できるかどうかも重要なポイントです。
通常のワイヤー矯正費用の目安は、「全体矯正:60〜130万円」「部分矯正:30〜60万円」と倍近く値段が異なります。
このように、治療費用の安い部分矯正ができれば、アンカースクリューを設置してもコストを抑えることが可能です。
ただし、歯並びの状態によっては部分矯正に適応しないこともありますので、クリニックで診断してもらいましょう。
あわせて読みたい

部分矯正と全体矯正の違いは?費用・期間・選び方を徹底比較&タイプ別診断
部分矯正と全体矯正の違い(費用・期間・範囲)を解説。「どっちがおすすめ?」と悩む方へ、メリット・デメリット、タイプ別診断、症例写真を紹介。あなたに合う矯正法が見つかります。...
4.対応可能な最低限の本数を聞いておく
診査・診断を正確にできる先生のもとで何本から装着できるのか、最低限の本数を聞いておきましょう。
また、その際は後からの追加は無料かどうかも含め聞いておくと良いでしょう。しっかりとお掃除することも重要です。歯と同じく、汚れがたまれば抜けてしまいます。
【矯正効果UP】アンカースクリューで理想の歯並びに!

歯科矯正用アンカースクリューに対して、恐怖心や不安を感じていた方も、少し安心していただけたでしょうか?
アンカースクリューというネーミングや形状から、どうしても「痛そう」「怖い」というイメージが先行してしまいがちです。
しかし実際は、矯正期間の短縮や外科治療の回避など、矯正治療の負担を軽くするメリットが多くあります。
もしドクターから、「アンカースクリューが必要」「アンカースクリューの併用で矯正が効果的になる」と診断された場合には、前向きに考えましょう。
そして、歯科矯正を始めるには、どんな矯正方法であっても最初に歯科クリニックでの診断が必要です。
本記事の監修医師のクリニックはこちら
マウスピース矯正 Oh my teethではドクターによる口腔内診査・レントゲン撮影・3Dスキャンが無料で受けられます。
無理な勧誘は一切ございませんので、カウンセリングが初めての方もお気軽にご相談ください。






