ホワイトエッセンスの口コミを調査!白くならないって噂は本当?

「ホワイトエッセンスの口コミを調べているけど、本当に白くなるの?」と、実際の評判が気になっていませんか?
良い評価を見かける一方で、「効果がない」「白くならない」といった気になる声もあり、実際に試すべきか迷ってしまいますよね。
そこでこの記事では、ホワイトエッセンスの口コミを徹底調査し、利用者のリアルな声からわかったメリット・デメリットを忖度なく解説します。
後悔しない選択をするためにも、ぜひ最後までご覧ください。
読む前にお伝えしたいこと
ホワイトエッセンスは、全国に加盟歯科医院があり、症例実績もトップクラスですが、「費用が高額で定期的に通うのが難しい」という声があるのも事実です。
記事の後半では、コスパ良くホワイトニングを始めたい方のために「医療ホワイトニングの効果はそのままにお手頃な費用で施術が受けられる」クリニックの選択肢もご紹介します。
まずは、ホワイトエッセンスのリアルな口コミや概要を見ていきましょう。

歯科矯正ブログ編集チーム
Oh my teeth
マウスピース矯正「Oh my teeth」ホームホワイトニング「Oh my teeth Whitening」を提供するOh my teethのコンテンツチームです。Oh my teeth導入クリニックのドクターと連携し、歯科矯正やホワイトニング、自社ブランドに関する確かな情報を発信しています。
目次
- ホワイトエッセンスの口コミ・評判
- 良い口コミ・評判
- 気になる口コミ・評判
- そもそもホワイトエッセンスとは?料金や特徴を紹介
- 限界よりも4段階上の白さを目指せる施術
- 失活歯などの難症例にもアプローチが可能
- ホワイトニング剤は自社開発で高品質を追求
- 施術満足度に応じた全額返金保証制度
- ホワイトエッセンス導入クリニック一覧
- 口コミからわかったホワイトエッセンスのメリット・デメリット
- メリット:効果を実感しやすい上にしみにくい
- デメリット:費用が高く、クリニックにより対応にバラつきがある
- ホワイトエッセンスでどのくらい白くなる?効果実感までの回数と期間
- オフィスホワイトニングで効果が見られる回数の目安
- ホームホワイトニングで効果が見られる期間の目安
- ホワイトエッセンスが向いている人・向いていない人
- ホワイトエッセンスをおすすめできる人
- ホワイトエッセンスに向かないかもしれない人
- ホワイトエッセンスでよくある質問
- ホワイトエッセンスは1回でどれくらい白くなる?
- 白くなったらどのくらい持ちますか?
- ホワイトエッセンスはどんな歯でも白くなる?
- ホワイトエッセンスは妊娠中・授乳中でもできる?
- ホワイトエッセンスに年齢制限はある?
- 「ホワイトエッセンスは向いていないかも?」と感じる人へ
ホワイトエッセンスの口コミ・評判
ホワイトエッセンスで施術を受けたことがない方の中には、「白くならないって聞くけど本当?」「やばいって聞くけど何がやばいんだろう」と不安を感じている方もいるでしょう。
ここでは、実際にホワイトエッセンスで施術を受けた人の口コミをピックアップしてご紹介します。ホワイトエッセンスの評判が気になる方はぜひ参考にしてください。
良い口コミ・評判
ホワイトエッセンス初回のオフィスめっちゃ良かった
引用元:X(旧Twitter)
ホワイトエッセンス久々いったら、ばり歯綺麗なって満足
引用元:X(旧Twitter)
ホワイトエッセンスを受けた後の変化に驚きました。やって良かったです!
引用元:X(旧Twitter)
ホワイトニング効果は個人差がありますが、ホワイトエッセンスに関しては施術結果に満足している口コミが多く見られました。
ホワイトエッセンスで、初オフィスホワイトニングしてきたヒヤヒヤ緊張したけど、全然染みなかった
引用元:X(旧Twitter)
知覚過敏なのでオフィスホワイトニングが激痛で2日ほど痛み止め飲むという経験したこともあったけど、ホワイトエッセンスは唯一大丈夫だったので継続してる!
引用元:X(旧Twitter)
ホワイトエッセンスで2回目の施術でした。
痛みや染みたりもなく、仕上がりをただただ楽しみにするワクワクの時間でした。
白さの具合で次のスケジュールも調整してくださるのも嬉しい。
引用元:X(旧Twitter)
ホワイトエッセンスでは、痛みや知覚過敏に配慮した施術を行っています。そのためか、口コミでも「痛い」「しみる」という声はほとんど見られませんでした。
気になる口コミ・評判
ホワイトエッセンス、スタッフの方の対応や施術は丁寧だし効果もすごくてもっと早くやればよかった
引用元:X(旧Twitter)
とある歯科でホワイトエッセンスのクリーニングしてきたけど
歯科衛生士さんのやり方が怖くて無愛想、所要時間90分と言われてたのに150分かかった、もちろん謝罪等なし、他オプション(ホワイトニング)勧められて断ったら態度悪くなる、でもう二度と行きたくない………
引用元:X(旧Twitter)
施術内容に関しては満足度が高いホワイトエッセンスですが、対応は歯科クリニックによってバラつきがあるようです。中には「プランやケアグッズを強引に勧められた」という声も。
スタッフの対応が気になる場合は、事前に施術を受ける予定のクリニックの口コミを見ておくと安心です。
やはりホワイトエッセンスのコース(デュアル)は高いと思うので契約しなくてよかった、ホームのみは安くて良
引用元:X(旧Twitter)
数回通ってなりたい色に近づけるそう。コースはお高い
引用元:X(旧Twitter)
費用の高さが気になる口コミもいくつか見られました。「1回で効果を感じやすいものの、長期的に利用する場合は価格が気になる」という人もいるようです。
「費用が高いと続けられない」という方へ
「費用が高いと定期的に通うのは難しい」という方は、同じ医療ホワイトニングでも低価格のプランを用意しているクリニックを選ぶのも1つの方法です。
そもそもホワイトエッセンスとは?料金や特徴を紹介

出典元:ホワイトエッセンス
ホワイトエッセンスは、ホワイトニングやクリーニングなどの歯科サービスを提供しているブランドです。
全国各地の歯科クリニックで導入されており、歯の美しさを追求したい方に幅広く利用されています。
ホワイトニングの各メニューの料金は以下の通りです。
メニュー名 | 料金(税込) | 施術範囲 | 内容 |
|---|---|---|---|
オフィスホワイトニングプロ | 19,900円 | 前歯12本 | ホワイトニング(5分×2回照射) |
オフィスホワイトニング プロ プラス | 25,400円 | ライトが当たる全ての範囲 | ・しみ止めジェル塗布 ・ホワイトニング(5分×2回照射) ・仕上げ磨き |
オフィスホワイトニング2回チケット | 35,800円 | 前歯12本 | ホワイトニング(5分×2回照射)×2回 |
ホワイトエッセンスコースエクスプレス | 118,800円 | ライトが当たる全ての範囲 | ・ホワイトニング(10分×3回照射)×2回 ・クリーニング(全歯対象)×2回 |
ホームホワイトニングスターターキット | 19,900円 | - | ・ホワイトニングジェル2 本(1週間分) ・オーダーメイドマウスピース作成 |
ホワイトエッセンスコース | 118,800円 | - | ・オフィスホワイトニングプロ プラス×3回 ・ホームホワイトニング2ヶ月分 ・クリーニング×2回 ・ホームケアグッズ |
ホワイトエッセンスコース ライト | 79,000円 | - | ・オフィスホワイトニングプロ プラス×2回 ・ホームホワイトニング1ヶ月分 ・クリーニング1回 |
続いて、ホワイトエッセンスの特徴をより詳しくご紹介します。
限界よりも4段階上の白さを目指せる施術

出典元:ホワイトエッセンス
ホワイトエッセンスのホワイトニングは、独自に開発されたホワイトニング剤と施術技術によって、従来のホワイトニングでは難しいとされていた明るい白さを目指せるのが特徴です。
限界とされることが多い白さよりも4段階上の白さにすることを目標としており、実際に施術を受けた利用者のうち、91.4%(※)がこの白さを達成しています。
※2023年1月~12月の期間でホワイトエッセンスコースを開始した12,629名が対象
失活歯などの難症例にもアプローチが可能
230万件以上の症例実績があるホワイトエッセンスでは、通常のホワイトニングでは対応が難しい症例にもアプローチが可能です。
神経を抜いて黒ずんでしまった「失活歯」や、抗生物質によって変色してしまった「テトラサイクリン歯」の施術実績があり、一般的なホワイトニングでは効果が出にくいケースでも、利用者の希望に応じた白さを目指せます。
テトラサイクリン歯とは?
歯の形成時期に、テトラサイクリン系抗生物質の服用によって生じる歯の変色のこと。
永久歯が生えてくる前の乳幼児期から8歳ごろまでにテトラサイクリン系薬剤を服用すると、黄色や灰色、茶色い帯状の着色が出ることがあります。
ホワイトニング剤は自社開発で高品質を追求
ホワイトエッセンスの薬剤は自社開発で、ホワイトニング効果はもちろん、照射器の熱による痛みのリスクや、唇・歯茎の黒ずみリスクにも考慮されているのが特徴です。
薬事承認を取得している薬剤の中でも比較的新しく、従来の薬剤の3倍以上と高いホワイトニング効果から特許を取得しています。
施術満足度に応じた全額返金保証制度
ホワイトニングのオフィスホワイトニング(※)では、初回施術後に白さの変化を実感できなかった場合、翌日までの申し出で全額を返金する保証制度を設けています。
これは施術の効果やサービス品質に自信をもつホワイトエッセンスだからこそ提供できる制度であり、初めてホワイトニングを受ける方でも安心して試せる仕組みです。利用者の満足度を最優先に考え、万が一の不安にも応えられる体制が整っています。
※オフィスホワイトニングプロ、オフィスホワイトニングプロ プラスのみ
ホワイトエッセンス導入クリニック一覧

ホワイトエッセンスは全国各地の歯科医院と提携しており、ほとんどの地域でサービスが受けられます。ここでは、ホワイトエッセンスの加盟医院をエリア別にご紹介します。
北海道エリア
- 【モユクサッポロ】さいわいデンタルクリニックmoyukSAPPORO
- 【札幌北広島】医療法人 mirai さいわいデンタルクリニック
- 【札幌白石】三好プリベント歯科
- 【旭川旭神】医療法人社団やすみ歯科
- 【札幌北】医療法人社団こやま歯科診療室
- 【札幌大曲】医療法人miraiさいわいデンタルクリニック
- 【帯広】ヒロハヤシ歯科
- 【創成イースト】医療法人 ハートフル会 すまいる歯科 札幌駅前ペリオ・インプラントオフィス
- 【南郷7丁目】南郷やはた歯科
- 【岩見沢】谷本歯科医院
- 【旭川末広】いまとみ歯科
- 【札幌平岸】ノブデンタルクリニック
- 【千歳】医療法人社団 口福会 清流デンタルクリニック
- 【赤レンガテラス】谷口歯科診療所
- 【江別】医療法人社団 中央歯科医院
- 【宮の沢】みかみ歯科医院
- 【札幌南平岸】医療法人社団 大友歯科
東北エリア
宮城県
- 【八乙女】まつざき歯科医院
- 【仙台一本杉】すずき歯科クリニック
- 【仙台高砂】医療法人えがおの会 BIG DENTAL OFFICE
- 【北仙台】北仙台山口デンタルクリニック
秋田県
- 【秋田】ホワイトエッセンス秋田
山形県
- 【鶴岡】武田歯科医院
- 【米沢】村山歯科医院
福島県
- 【郡山桑野】医療法人 ぬかざわ歯科医院
関東エリア(東京都以外)
茨城県
- 【つくば】ホワイトエッセンスデンタルオフィスゴリ
- 【取手】医療法人社団徳秀会 飯塚歯科医院
- 【守谷】医療法人社団 SMILELAND 河合歯科
- 【水戸御茶園通り】医療法人MSCA 御茶園通り歯科クリニック
- 【筑西】医療法人G・D・C 山口歯科クリニック
栃木県
- 【宇都宮】ゴリデンタルクリニック
- 【那須烏山】藤井歯科医院
- 【宇都宮中央】椎貝歯科医院
- 【上三川】ゆうデンタルクリニック
群馬県
- 【高崎】医療法人優友会 柳沢歯科医院
- 【前橋荒牧】なかじま歯科クリニック
- 【館林】石井歯科医院
- 【渋川】高橋歯科クリニック
埼玉県
- 【大宮西口】医療法人洛鳳會 おおみやの歯医者さん
- 【浦和パルコ】医療法人社団高歯会 ホワイトエッセンス浦和パルコデンタルクリニック
- 【東浦和】医療法人賢歯会 こばやし歯科
- 【小手指】奥原歯科医院
- 【飯能】医療法人 心清会 やまて歯科医院
- 【草加】タケノコ歯科・矯正歯科クリニック
- 【所沢元町】ところざわの歯医者さん
- 【ふじみ野】けんと歯科
- 【久喜栗橋】田沼歯科医院
- 【戸田笹目】みしまデンタルクリニック
- 【日高】クミエパールデンタルクリニック
- 【川越駅西口】川越ホワイト歯科クリニック
- 【南栗橋】医療法人社団SDY 南栗橋歯科クリニック
- 【北越谷】医療法人爽美会 藤田歯科医院
- 【上尾小敷谷】上尾ハピネス歯科・こども歯科
- 【本川越】ベオデンタル本川越クリニック
- 【入間】あいり歯科クリニック
千葉県
- 【海浜幕張】AKAZA DENTAL CLINIC
- 【稲毛海岸】医療法人社団 吉田歯科医院
- 【五井】ハーブコートデンタルクリニック
- 【薬園台駅】薬園台駅歯科クリニック
- 【西船橋】西船橋駅前 成瀬歯科医院
- 【フォルテ津田沼】奏の杜デンタルクリニック
- 【千葉中央】デンタルオフィス千葉中央
神奈川県
- 【横浜東口】ホワイトエッセンス横浜東口デンタルクリニック
- 【馬車道】ホワイトエッセンス馬車道デンタルクリニック
- 【川崎】ホワイトエッセンス川崎デンタルクリニック
- 【渋沢】渋沢歯科医院
- 【柿生】永瀬歯科医院
- 【センター北】医療法人社団OMS ポーラスター矯正歯科・センター北
- 【保土ヶ谷南】まき歯科医院
- 【いずみ中央】いずみ中央駅前歯科
- 【相模原相生】医療法人社団カワサキ 歯科川﨑医院あいおい
- 【平塚駅南口】医療法人社団 祥育会 White Dental Office
- 【大和上草柳】医療法人社団タカハシ 高橋歯科医院
- 【横浜下和泉】渡瀬歯科医院
- 【日本大通り駅前】いちょう歯科医院
- 【新逗子】ねもと歯科クリニック
- 【たまプラーザ】医療法人社団OMS ポーラスター矯正歯科・小児歯科たまプラーザ
- 【小田原富水】ナオキ歯科
- 【京急久里浜】さいとう歯科医院
- 【鷺沼駅前】医療法人社団とかじ歯科
- 【平塚海岸】浅川歯科
東京都エリア
- 【渋谷公園通り】医療法人 雅心会 WE渋谷公園通り矯正歯科
- 【銀座】ホワイトエッセンス銀座
- 【新宿】ホワイトエッセンス新宿タカシマヤタイムズスクエア
- 【池袋】ホワイトエッセンス池袋
- 【西池袋】医療法人社団AXIAS シールズデンタルクリニック西池袋院
- 【調布駅前】医療法人社団 海神会 シャイニングデンタルクリニック
- 【半蔵門駅前】医療法人フェネスト 歯科タケダクリニックマウスラボ東京麹町
- 【町田】ゆみ矯正歯科
- 【シェラトン都ホテル東京】都ホテル東京宮本歯科クリニック
- 【立川】ホワイトエッセンスJOYデンタルクリニック
- 【西新井関原】小松歯科医院
- 【練馬富士見台】富士見台さくら歯科
- 【府中白糸台】ピッコロバンビーニこども歯科・矯正歯科
- 【麻布十番】ホワイトエッセンス麻布十番M'sデンタルクリニック
- 【中板橋】まるやま歯科クリニック
- 【大森東口】大森歯科クリニック
- 【練馬江古田】医療法人社団史翔会 中村歯科医院
- 【上野稲荷町】医療法人社団眞慈会 鈴木歯科
- 【武蔵小金井】医療法人社団アカシア会 タナカ歯科
- 【茗荷谷】茗荷谷おとなとこども矯正歯科
- 【新蒲田】菊池歯科医院
- 【千駄木動坂】さくら千駄木デンタルクリニック
- 【西新宿】S&A DENTAL CLINIC
- 【京成小岩】京成小岩青い鳥歯科クリニック
- 【三鷹】三鷹ハートフル矯正歯科医院
- 【成城】ホワイトエッセンス成城クリニック
- 【東村山駅東口】ロイヤル歯科医院
- 【西国分寺】レガデンタルクリニック
- 【亀有駅南口】佐藤歯科医院
- 【石神井公園】なかがわ歯科医院ホワイトエッセンス
- 【中目黒】伊藤デンタルクリニック東京
- 【御茶ノ水】ホワイトエッセンス御茶ノ水デンタルクリニック
- 【経堂】きたむら歯科経堂
- 【八王子諏訪町】ぽなKids&Family歯科クリニック
- 【奥渋谷】医療法人フェネスト 歯科タケダクリニックマウスラボ東京渋谷
- 【下北沢】ホワイトエッセンス下北沢西口歯科クリニック
- 【目黒八雲】さくら歯科医院
- 【東雲】東雲歯科
- 【千歳船橋】医療法人社団 髙大仁会 木村歯科医院
- 【曳舟】医療法人社団桜ゆう会 おおさわ歯科クリニック
- 【野方】三宅歯科医院
- 【板橋本町駅前】医療法人社団ユニバース アース歯科クリニック
- 【東池袋】医療法人社団AXIAS シールズデンタルクリニック東池袋院
- 【吉祥寺】グリーンアップル吉祥寺歯科医院
- 【深沢】医療法人社団耕陽会 グリーンアップル自由が丘デンタルクリニック インプラントセンター
- 【大森町】(医)耕陽会 グリーンアップル歯科医院
- 【青山】ホワイトエッセンス青山
- 【大井町】大井町矯正歯科
- 【護国寺】ミューズ矯正歯科
中部エリア
富山県
- 【旅籠町】菅田歯科医院
- 【高岡】よねもり歯科
新潟県
- 【新津】やまざき歯科医院
石川県
- 【金沢】エメラルド歯科クリニック
福井県
- 【福井文京】早川歯科医院
- 【鯖江】かたぎり歯科クリニック
- 【敦賀】吉光歯科医院
山梨県
- 【甲府城東】愛彩デンタルクリニック
長野県
- 【松本】百瀬歯科医院
- 【佐久野沢】大塚歯科クリニック
- 【長野駅前】長野駅前おとなこども矯正歯科
- 【飯綱】田村歯科医院
- 【佐久跡部】医療法人Dentalcare あるが歯科医院
岐阜県
- 【岐阜】ホワイトエッセンス吉田歯科医院
- 【岐阜加納】ノアデンタルクリニック・ホワイトエッセンス
- 【中津川】Mika Beauty Dental Clinic
- 【大垣】山村歯科クリニック
静岡県
- 【浜松小豆餅】デンタルステーション ハル歯科医院
- 【富士】宮本歯科
- 【清水木の下】安藤歯科クリニック
- 【伊豆長岡】吉本歯科医院
- 【静岡呉服町】Nデンタルオフィス ホワイトエッセンス静岡
- 【静岡駅南口】ブランシュデンタルクリニック
- 【富士南】渡井デンタルクリニック
愛知県
- 【名古屋駅前】医療法人レナクス はしもとデンタルクリニック名古屋
- 【名古屋栄】医療法人宗和 サンワデンタルクリニック栄
- 【岡崎】豊田歯科
- 【平安通駅】医療法人 名古屋デンタルオフィス
- 【豊橋東田】医療法人IDC 東田いしはら・デンタルクリニック
- 【星ヶ丘】医療法人 西山歯科
- 【蟹江】あじさいデンタルクリニック
- 【徳重】じんの歯科クリニック
- 【大曽根南】医療法人美正会 森下すずらん歯科
- 【刈谷中山】みやび歯科医院
- 【名東本通】歯科トキオクリニック
- 【瀬戸】あいの里歯科クリニック
- 【小牧】医療法人恒輝会 稲垣歯科
- 【あま】はせがわ歯科医院
- 【知多】医療法人森緑会 小森歯科医院
- 【東海名和】医療法人 雄成会 ねざめ歯科矯正歯科
- 【半田】三和歯科
- 【栄3丁目】日生歯科診療所
- 【神の倉】みずほ歯科クリニック
- 【みよし】後藤歯科
- 【一宮萩原】うかい歯科まゆデンタルサロン
- 【大清水】たけうち歯科クリニック
近畿エリア
三重県
- 【鈴鹿高岡台】はしもと歯科
- 【近鉄四日市】医療法人滋誠会デンタルクリニックフクオカ
- 【桑名】医療法人 皐瑛会 森の響デンタル
滋賀県
- 【高島】うえはら歯科
- 【大津におの浜】おおつデンタルクリニック
- 【彦根】医療法人結音会 中島歯科医院
- 【草津駅西口】くさつデンタルクリニック歯科・矯正歯科
京都府
- 【京都四条】ホワイトエッセンス京都四条通り矯正歯科
- 【京都北山】医療法人巴山矯正歯科
- 【亀岡駅前】天野歯科医院
- 【京都山科】医療法人社団明水会 かねだ歯科医院
- 【松井山手】あゆみ歯科クリニック
- 【京都西院】たかもり歯科医院
大阪府
- 【梅田】ホワイトエッセンス梅田大阪矯正歯科
- 【心斎橋】心斎橋トダ歯科矯正歯科
- 【阪急淡路】医療法人 くろだ歯科医院
- 【京橋】医療法人隆歩会 京橋あゆみ歯科クリニック
- 【淀屋橋】淀屋橋ブライト歯科
- 【天王寺駅前】医療法人和愛会 もちだ矯正歯科クリニック
- 【藤井寺市】カズデンタルクリニック
- 【大阪九条】医療法人名山会 うえすぎ歯科クリニック
- 【泉ヶ丘駅】泉ヶ丘ニコニコ歯科
- 【高槻駅前】医療法人きしもと歯科医院
- 【光明池駅】光明池ニコニコ歯科
- 【関大前】みずたに歯科クリニック
- 【南住吉】小出歯科医院
- 【東大阪八戸ノ里】医療法人光風会 平賀歯科医院
- 【泉北深井】もちだ矯正歯科クリニック
- 【アリオ八尾】医療法人 甦歯会 マイデンタルクリニックもりかわ歯科
- 【香里園】医療法人 菱友会 ひしだ歯科クリニック ホワイトエッセンス香里園
- 【金剛東】医療法人恒仁会 といぐち歯科医院
- 【松原】医療法人 伊藤歯科医院
- 【中百舌鳥駅】ニコニコ歯科なかもず駅前クリニック
- 【岸和田】医療法人雅心会 中村歯科
- 【泉北御池台】こばやし歯科
- 【和泉中央駅】和泉中央ニコニコ歯科
- 【道頓堀】道頓堀キムラ歯科クリニック
- 【梅田新道】ホワイトエッセンス梅田新道矯正歯科
兵庫県
- 【三宮WEST】ユウデンタルクリニック
- 【甲子園】甲子園駅前ながた歯科
- 【姫路南条】はだの歯科
- 【逆瀬川】アゼリア歯科クリニック
- 【姫路大津】オアシス・デンタル・オフィス
- 【姫路白鷺橋】有方歯科医院
- 【姫路町坪】フォレスト・デンタル・オフィス
- 【阪神西宮】嶋歯科クリニック
- 【洲本】ナカノデンタルクリニック
- 【阪神大石駅】尾村歯科医院
奈良県
- 【橿原】医療法人 修仁会 吉野歯科クリニック
- 【奈良生駒】さくら歯科医院
- 【香芝】くらさか歯科医院
和歌山県
- 【イオンモール和歌山】ホワイトエッセンスわかやま歯科
- 【岩出】青木歯科医院
中国エリア
鳥取県
- 【倉吉】花池デンタルクリニック
島根県
- 【出雲】医療法人円明会 直江歯科診療所
岡山県
- 【杜の街グレース】杜の街グレース歯科・矯正歯科
- 【岡山高柳】きらり歯科クリニック
- 【津山西吉田】かんざき歯科医院
- 【岡山青江】医療法人社団三輝会 熊谷歯科医院
- 【岡山倉田】さながわ歯科クリニック
- 【倉敷中島】白神歯科医院
- 【倉敷吉岡】たかつか歯科クリニック
- 【津山】北歯科医院
広島県
- 【広島駅前】ホワイトエッセンス広島駅前歯科
- 【広島パセーラ】パセーラデンタルクリニック
- 【広島祇園】安佐祇園デンタルクリニック
- 【ホテルグランヴィア広島】広島駅前歯科
- 【広島南】木村歯科医院
- 【福山北】藤井歯科医院
- 【広島府中】さくら歯科クリニック
- 【東福山】よしだ歯科
- 【東広島】木村歯科医院
- 【廿日市】とだ歯科医院
山口県
- 【柳井】やない歯科 矯正歯科医院
- 【新山口】医療法人栄信会 アイリーデンタルクリニック
- 【岩国由宇】桝尾歯科クリニック
- 【徳山駅前】医療法人 栄信会 徳山駅前矯正歯科
- 【周南】ワハハキッズデンタルランド&おとな歯科
- 【岩国周東】松井歯科クリニック
四国エリア
香川県
- 【丸亀】宮武歯科医院
- 【高松瓦町】医療法人社団スガタ歯科医院
- 【高松太田】医療法人社団弘誠会 サンシャイン歯科
- 【高松今里】むね歯科クリニック
- 【高松三名】かたぎり歯科クリニック
愛媛県
- 【松山椿】医療法人 丹心会 大谷歯科矯正歯科
- 【松山北】医療法人 堀本歯科
- 【新居浜】ふじた歯科クリニック
- 【東温市】にこデンタルクリニック
- 【新居浜南】医療法人 はまゆう会 サトウ歯科
- 【今治】越智歯科医院
九州エリア
福岡県
- 【博多】ホワイトエッセンスゆうなデンタルクリニック
- 【天神】ホワイトエッセンス・ウィンデンタルクリニック
- 【香椎】もろい歯科
- 【中洲川端】廣畑歯科クリニック
- 【大名】天神西通り デンタルクリニック
- 【福岡藤崎】Shiro矯正歯科
- 【小倉駅新幹線口】ケイズ歯科・矯正歯科小倉ステーション
- 【西鉄久留米】あいは歯科クリニック
- 【大野城】いしげ歯科医院
- 【小倉長行】うりゅう歯科・矯正歯科クリニック
- 【新飯塚】新飯塚いとう歯科クリニック ケアクリニック
- 【到津】ケイズ歯科・矯正歯科クリニック到津
- 【福岡五十川】医療法人 徳治会 MOTOKI DENTAL CLINIC
- 【小倉】医療法人将和会 ケイズ歯科・矯正歯科 クリニック小倉北
- 【貴船】ケイズ歯科・矯正歯科クリニック貴船
佐賀県
- 【鍋島】ふくしま歯科・こども歯科
長崎県
- 【長崎白木】西岡歯科医院
熊本県
- 【熊本駅新幹線口】R's dental clinic
- 【熊本玉名】医療法人社団 清徳会 いなもり歯科クリニック
- 【熊本下通】みゆきデンタルクリニック
宮崎県
- 【都城】安楽歯科医院
- 【延岡】まさこの歯科クリニック
- 【宮崎】医療法人 慶優会 宮崎北歯科医院
沖縄県エリア
- 【沖縄】医療法人堅勇会 T Dental Frontier
- 【宮古島】KAZUデンタルクリニック
- 【浦添】ウェルネスデンタルケア
口コミからわかったホワイトエッセンスのメリット・デメリット
続いて、口コミ調査からわかったホワイトエッセンスのメリット・デメリットをご紹介します。
メリット:効果を実感しやすい上にしみにくい
ホワイトエッセンスのメリットは、何といっても高いホワイトニング効果を期待できるこ施術時の痛みやしみる感覚が少ないのも嬉しいポイントです。
デメリット:費用が高く、クリニックにより対応にバラつきがある
ホワイトエッセンスのデメリットとしては、費用が高く継続が難しいという口コミが見られました。ホワイトニングは定期的なケアが推奨されていますが、なかにはホワイトエッセンスで長期的なケアを続けるのは難しいと感じる人もいるでしょう。
また、導入クリニックによってスタッフの対応に差があることもあるため、気になる場合は事前に施術を受ける予定のクリニックの口コミを確認しておきましょう。
ホワイトエッセンスでどのくらい白くなる?効果実感までの回数と期間
ホワイトエッセンスのホワイトニング効果は、個人の歯質や生活習慣により異なりますが、一般的には数回の施術で白さを実感できるケースが多いとされています。
ここではオフィスホワイトニング・ホームホワイトニング別に、効果を実感するまでの目安回数・期間をご紹介します。
オフィスホワイトニングで効果が見られる回数の目安
オフィスホワイトニングは、一度の施術で効果を実感しやすいのが特徴です。公式サイトによると一度の施術で平均4段階の白さアップが期待できるとされています。
また、早めに効果を出したい方向けのメニューも用意されており、一度の施術で最大9段階の白さアップを目指すことも可能です。
ただし、効果には個人差があり、歯の状態や生活習慣によって結果が異なる場合もあります。 理想の白さに近づけるために、複数回の施術が必要となる場合もあるでしょう。
ホームホワイトニングで効果が見られる期間の目安
自宅で行うホームホワイトニングでは、日々の使用で徐々に白くなっていきます。1~2週間ほどで変化を感じることが多いですが、理想的な白さにするためには数週間の継続使用がおすすめです。
公式サイトによると、8週間のホームホワイトニングで5~9段階の白さアップを達成した人もいるそうです。個人差はあるものの、コツコツと毎日続けることで白さが引き出されやすくなるでしょう。
ホワイトエッセンスが向いている人・向いていない人
口コミやメリット・デメリットを踏まえた上で、ホワイトエッセンスが向いている人・向いていない人の特徴を解説します。
ホワイトエッセンスをおすすめできる人
ホワイトエッセンスをおすすめできる人は以下の通りです。
- 短期間で理想的な白さを目指したい人
- ホワイトニングの痛みが気になる人
- 引っ越しの予定がある人
ホワイトエッセンスは短期間で変化を感じやすいメニューが揃っており、できるだけ早く理想の白さに近づきたい人におすすめでホワイトニングの痛みが気になる方にも適しているでしょう。
また、ホワイトエッセンスは全国に提携クリニックがあるのも大きな魅力です。 転勤などで引っ越しの予定がある人も長期的なメンテナンス通院を続けやすいでしょう。
ホワイトエッセンスに向かないかもしれない人
ホワイトエッセンスに向かないかもしれない人は以下の通りです。
- 費用面が気になる方
- 定期的な通院が難しい方
ホワイトエッセンスは高品質なホワイトニングを提供しているため、費用が高めに設定されています。そのため、予算重視の方やセルフホワイトニングのように低価格でのケアを希望する方には、他の選択肢が合う場合もあります。
ちなみにOh my teeth オフィスホワイトニングでは、「本格的な医療ホワイトニングを、もっと気軽に・もっと通いやすく」を叶える医療ホワイトニングを提供。
2回照射4,980円でオフィスホワイトニングが受けられます。詳しい内容は「 Oh my teethのオフィスホワイトニングとは?効果・料金など徹底解説【ホームとの違いも】 」よりご覧ください。
ホワイトエッセンスとOh my teethの違い
ブランド名 | ホワイトエッセンス | Oh my teeth Whitening |
|---|---|---|
種類 | オフィスホワイトニング ホームホワイトニング デュアルホワイトニング | オフィスホワイトニング ホームホワイトニング |
費用目安 | オフィス:1回19,900円〜 ホーム:19,900円 デュアル:79,000円~ | オフィス:2回照射4,980円~ ホーム:11,000円/月(ジェル4本) マウスピース作成が必要な場合:初月22,000円 |
効果 | オフィス:1回で4段階の白さアップ | オフィス:1度の来院(2回照射)で4~8段階のトーンアップを目指せる |
持続期間 | 3~10ヶ月ほどかけて元の色に戻っていく | オフィス:約3ヶ月~1年間※ ホーム:約半年~1年※ |
※持続期間は一般的なオフィス/ホームホワイトニングの目安を記載しています。効果や持続期間には個人差があり、口にする飲食物によっても異なります。
「いきなり高額なプランを契約するのは勇気がいる」という方は、まずは医療ホワイトニングでどれくらい効果が出るのかお試ししてみませんか?
▶お試しプランが2,980円のオフィスホワイトニングの詳細を見る
▶お試しプランが2,980円のオフィスホワイトニングの詳細を見る
ホワイトエッセンスでよくある質問

最後に、ホワイトエッセンスでよくある質問をご紹介します。
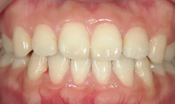
ホワイトエッセンスは1回でどれくらい白くなる?
メニューにより異なりますが、オフィスホワイトニングプロでは1回の施術で平均4段階の白さアップが期待できます。 また、ホームホワイトニングでは8週間の使用で5~9段階程度の白さアップを目指せます。
以下はホワイトエッセンスの施術実例です。
オフィスホワイトニングプロの症例写真
Before

After

出典元:ホワイトエッセンス
- 年齢:20代
- 性別:女性
- 施術回数:1回
- 施術内容: ホワイトニング材とホワイトニング専用照射機を併用して歯を白くします。
- 費用(※自由診療):19,900円(税込)
- 施術リスク・副作用: 個人差がありますが、施術中や施術後に歯がしみる場合があります。
ホームホワイトニングの症例写真
Before

After

出典元:ホワイトエッセンス
- 年齢:20代
- 性別:女性
- 治療期間:8週間
- 施術内容:ホームホワイトニング
- 費用(※自由診療):19,900円(税込) 追加ホームジェル(1,980円~)
- 施術リスク・副作用: 個人差がありますが、施術中や施術後に歯がしみる場合があります。
白くなったらどのくらい持ちますか?
生活習慣や歯質によりますが、3~10か月かけて少しずつ元の色に戻ります。施術から3日後くらいから少しずつ色戻りが始まるため、再度ホワイトニングを受けることで白さが長持ちしやすくなります。
ホワイトエッセンスはどんな歯でも白くなる?
ホワイトエッセンスのホワイトニングは、基本的にご自身の歯であれば白さを向上させることが可能です。ただし、歯の状態によってはホワイトニングでの改善が難しい場合もあり、他の方法が適していることもあります。
たとえば、失活歯の場合、デュアルホワイトニングを継続することで目立たなくなることがあります。また、茶色の縞模様があるテトラサイクリン歯に関しては、半年から1年ほどデュアルホワイトニングを続けることで、変色が目立たなくなるケースが多いです。
一方で、グレーに変色した歯はホワイトニングでの改善が難しく、ラミネートべニアを用いた対応が推奨されます。さらに、詰め物や差し歯などの人工歯にはホワイトニングの効果がなく、セラミックで他の歯と色を揃える方法が一般的です。
ホワイトエッセンスは妊娠中・授乳中でもできる?
ホワイトエッセンスでは、妊娠中・授乳中の方にはホワイトニングの施術は行っておりません。これは、ホワイトニングの安全性が妊娠中や授乳中には証明されていないためです。
なお、ホワイトエッセンスに限らず、ホワイトニングは歯や身体の状態によってできない場合があります。ホワイトニングができないケースについては以下の記事をご覧ください。
あわせて読みたい

ホワイトニングができない人は?しないほうがいい理由やできない場合の対処法も解説
ホワイトエッセンスに年齢制限はある?
年齢制限に関しては導入クリニックによって対応が異なります。原則として乳歯や生えたばかりの永久歯への薬剤の使用は禁止されており、 14歳未満は施術を受けることができません。
「ホワイトエッセンスは向いていないかも?」と感じる人へ
ホワイトエッセンスは最新の薬剤を使うことにより、少ない痛みでスピーディーに理想的な白さを目指せるのが魅力です。しかし、費用面や定期的な通院がネックとなり、ホワイトニングをするか悩んでいる方もいるでしょう。
ホワイトエッセンスについて理解した上で、「もしかしたら向いていないかも…」と感じる場合は、低価格から始められるオフィスホワイトニングも検討するのもつの方法です。
【結論】コスパとタイパ重視で選ぶなら?
- ホワイトエッセンス(19,900円~):「全国に加盟院が多くあるホワイトニングブランドで、リラックスして施術を受けたい」方におすすめ
- Oh my teeth(4,980円~):「同じ医療ホワイトニンホワイトニングなら、もっと気軽に始めたい」タイパ・コスパ重視の方におすすめ
Oh my teethのオフィスホワイトニングが受けられるクリニックも、ホワイトエッセンスと同じく医療機関であり、本格的な医療用薬剤(過酸化水素配合)を使用しています。
どうしてここまで低価格が実現できるかというと、運営費のムダを削減し、薬剤をまとめて仕入れることでコストを下げているからです。
そのため「できるだけ費用を抑えてホワイトニングをしたい」という方に選ばれています。

